歯根破折とその原因について(練馬の歯医者、永広歯科)
【歯根破折とは】
歯根破折とは、最初に歯根に亀裂が入り、徐々に歯根が割れてしまうことです。
歯根破折は、失活歯(神経の残っていない歯)に被せ物をしてあっても、時折見られます。
完全に割れてしまうと、歯肉の腫脹、歯の周りからの排膿、咬合痛などの症状が現れ、
割れた歯根を接着することは出来ないので、抜歯せざるを得なくなります。
【原因】
原因としては、歯ぎしりや食いしばりなどの強い咬合圧(咬むときの力)や、
不良な被せ物(形を変えた被せ物や延長ブリッジなど)が挙げられます。
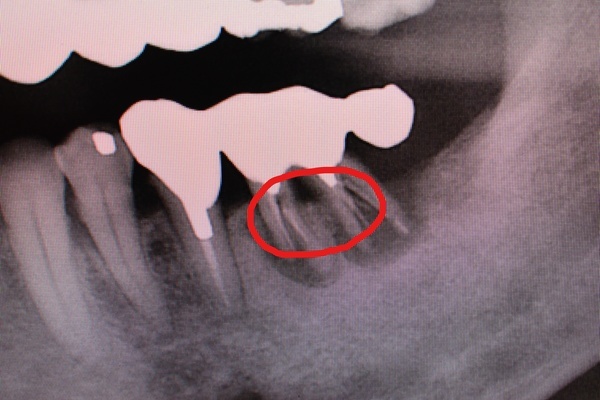
写真は⑤⑥7の延長ブリッジに歯根破折が生じたものです。

延長ブリッジは、歯根破折や歯の動揺が生じやすく、あまりおすすめはできない治療法です。
歯根破折とは、最初に歯根に亀裂が入り、徐々に歯根が割れてしまうことです。
歯根破折は、失活歯(神経の残っていない歯)に被せ物をしてあっても、時折見られます。
完全に割れてしまうと、歯肉の腫脹、歯の周りからの排膿、咬合痛などの症状が現れ、
割れた歯根を接着することは出来ないので、抜歯せざるを得なくなります。
【原因】
原因としては、歯ぎしりや食いしばりなどの強い咬合圧(咬むときの力)や、
不良な被せ物(形を変えた被せ物や延長ブリッジなど)が挙げられます。
写真は⑤⑥7の延長ブリッジに歯根破折が生じたものです。

延長ブリッジは、歯根破折や歯の動揺が生じやすく、あまりおすすめはできない治療法です。
2021年03月02日 15:06