★ホワイトニングには、2つの方法があります。どちらの方法でも歯は白くなります。

ホワイトニング前に一度お口の中の状況を確認し、虫歯や着色、歯石等がある場合は、事前に治療(保険適用¥2,000程)を行う必要があります。診察し、きれいな状態であればそのままホワイトニングをすることもあります。ホワイトニング後は、色のついた食べ物、飲み物によって色がもとに戻ろうとしますので、白さを維持するためには、ホームホワイトニングを行うことも勧めています。
歯科医院で1回で白くする ![]() |
自宅で行う![]() |
オフィスホワイトニング 歯面にオフィスホワイトニングジェルを塗布し光をあてて歯を白くします。 |
ホームホワイトニング
マウスピースを作成しマウスピースの内面にホームホワイトニングジェルをつけ、1日2-3時間はめておきます。 なお、長時間ホームホワイトニングジェルを使用すると歯がしみるようになることがあるので、最初は短い時間からはじめる方がよいでしょう。 |
¥16500(税込) | ¥5500(税込) (マウスピース+ホワイトニングジェル1本) |
★オフィスホワイトニングの流れ

①歯の表面を磨きます。

②歯肉を保護します。

③オフィスホワイトニングのジェルを塗布していきます。
④塗布した後、光を当てていき、水で流したら終了です。ここまでの治療で1時間程かかります。

③オフィスホワイトニングのジェルを塗布していきます。

④塗布した後、光を当てていき、水で流したら終了です。ここまでの治療で1時間程かかります。
★ホームホワイトニングの流れ

①型をとります。

②後日、マウスピースができあがります。


②後日、マウスピースができあがります。

③マウスピースにジェルをいれます。

④ご自宅にて指定時間はめていただきます。
※この薬剤を使用します。
ホームホワイトニングジェル 補充用¥3300

④ご自宅にて指定時間はめていただきます。
※この薬剤を使用します。
ホームホワイトニングジェル 補充用¥3300

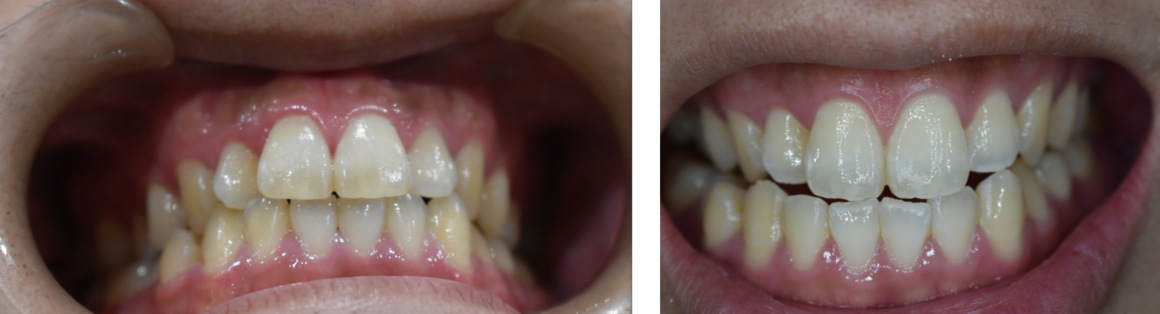
◎オフィスホワイトニングの実際の症例です。
befor after
