根の治療 根管処置(練馬の歯医者 永広歯科)
感染根管が原因の歯茎の腫れは
繰り返したり、急性化したりしやすいので
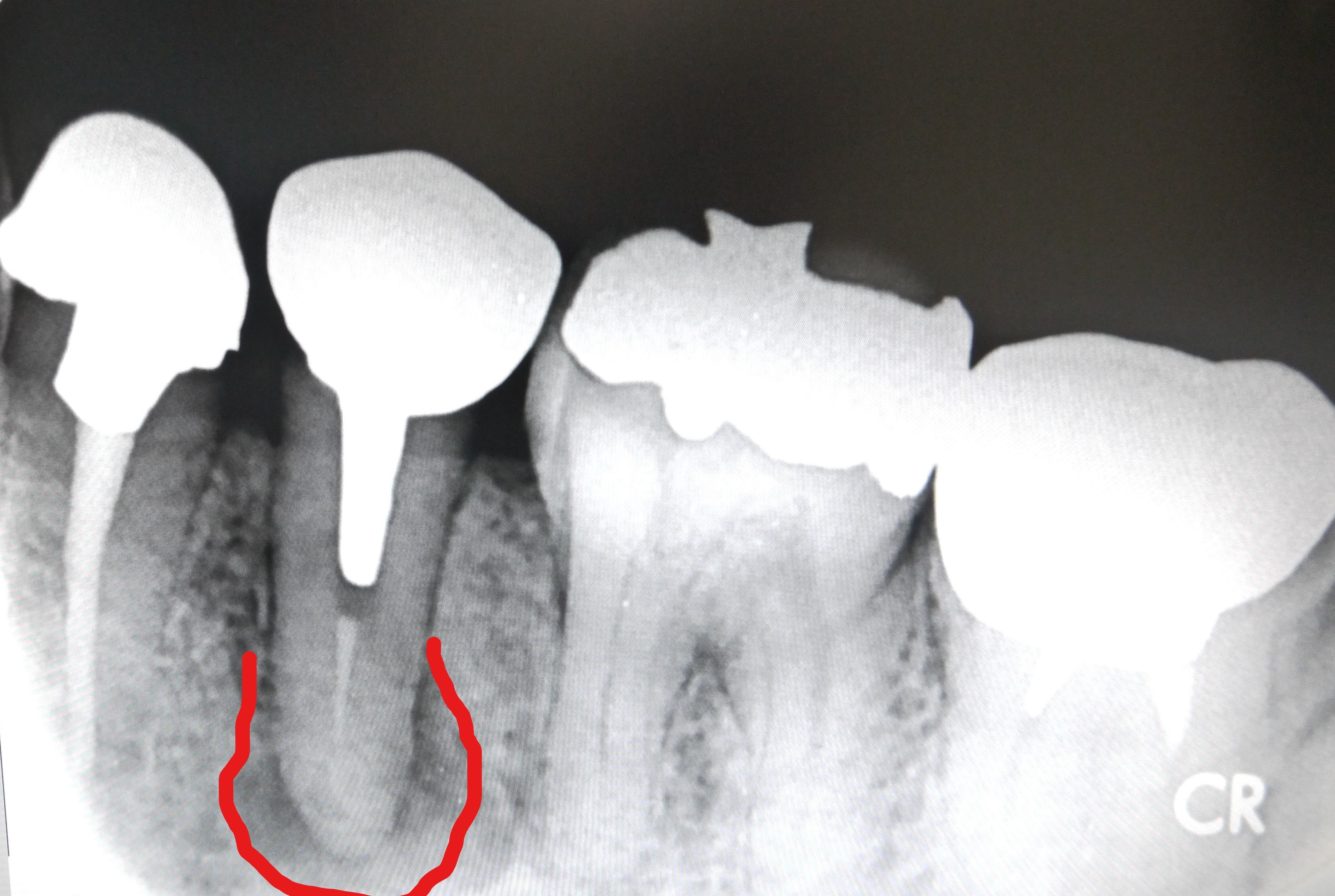
根管の中を無菌状態になるまで消毒し、腫れがなくなったら
根管の中に薬(ガッタパーチャとシーラー)をつめていきます。(根管処置)
この際、根の長さぴったりまで加圧しながら薬を詰めていくことが
腫れの再発を防ぐために最も重要です。





繰り返したり、急性化したりしやすいので
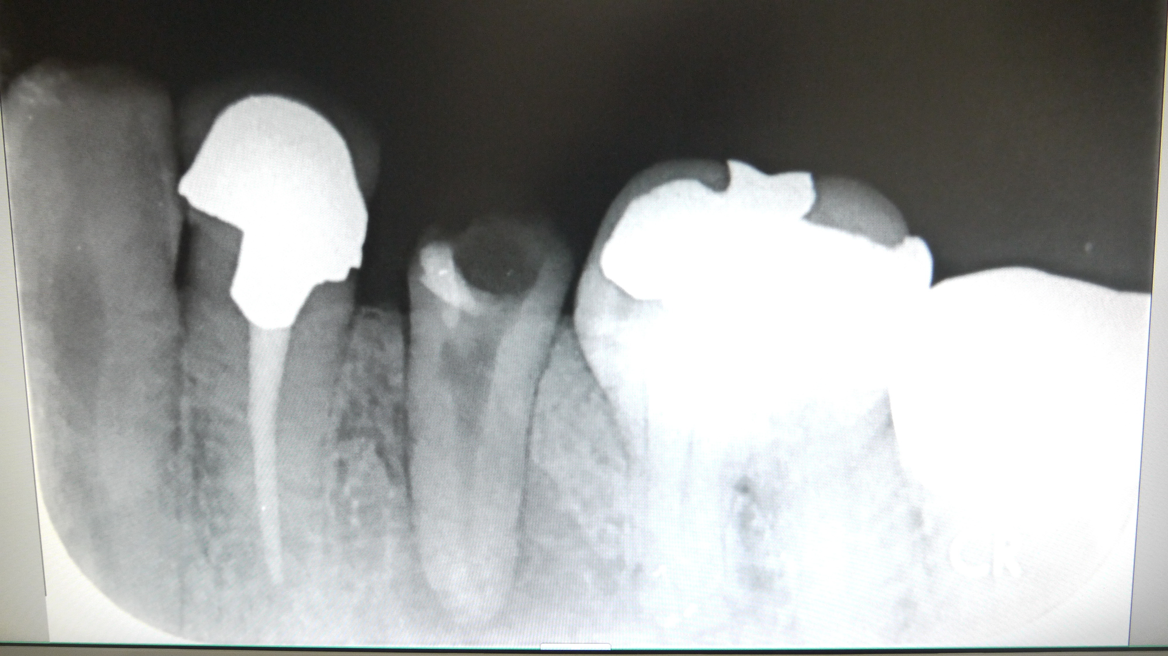
根管の中を無菌状態になるまで消毒し、腫れがなくなったら
根管の中に薬(ガッタパーチャとシーラー)をつめていきます。(根管処置)
この際、根の長さぴったりまで加圧しながら薬を詰めていくことが
腫れの再発を防ぐために最も重要です。





2021年09月17日 20:19